时间:2024-04-20 01:46:01 来源:www.zhengxing6.com 作者:珍美网 浏览量:
随着现在的社会的发展,相信很多人对当今的整形美容手术早已司空见惯,一般来说,小的上颌窦囊肿是并不需要处理的,而且对视力也不会有影响,但是如果囊肿太大的话会压迫并进入眼眶,进而会对孩子的视力造成影响。如果暂不动手术的话,不是容易复发,而是十分有复发的可能。如果能够非常完整地摘除囊肿的话,则可以最大限度的降低复发率。现代医疗技术如此的发达,我们是可以完全的信赖,如果要做手术的话一定要选择正规的规模大的医院精进行治疗。那么上颌窦囊肿手术费用?大概价格在8000-30000元左右。

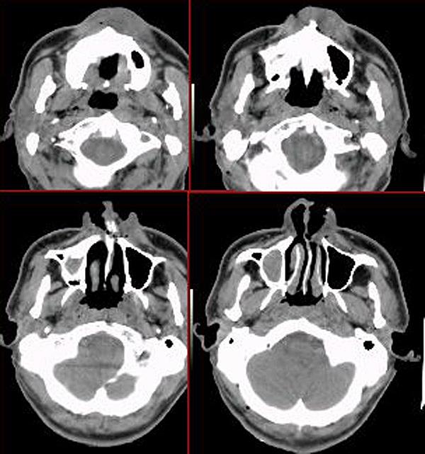
疾病分析:鼻窦囊肿分为粘液囊肿、粘膜囊肿和上颌骨牙源性囊肿.粘液囊肿是由鼻窦口长期闭塞和窦内分泌潴留引起的.粘膜囊肿是由窦粘膜粘液腺或浆液腺管口堵塞、腺体分泌膨胀形成的。
治疗原则:
1.粘液囊肿:通过鼻内或鼻外径路去除囊肿,引流口应畅通.
2.粘膜囊肿一般不需要手术。如果症状明显,反复发作,上颌窦根治径路切除术是可行的.
3.采用上颌窦清理术切除囊肿,保留上颌窦粘膜.牙根囊肿切除囊肿,治疗病牙。
上一篇:不同脸型要如何进行下颌角磨骨整形
下一篇:上下颌前突矫正费用